Bangalore
08048035376
+919986667979

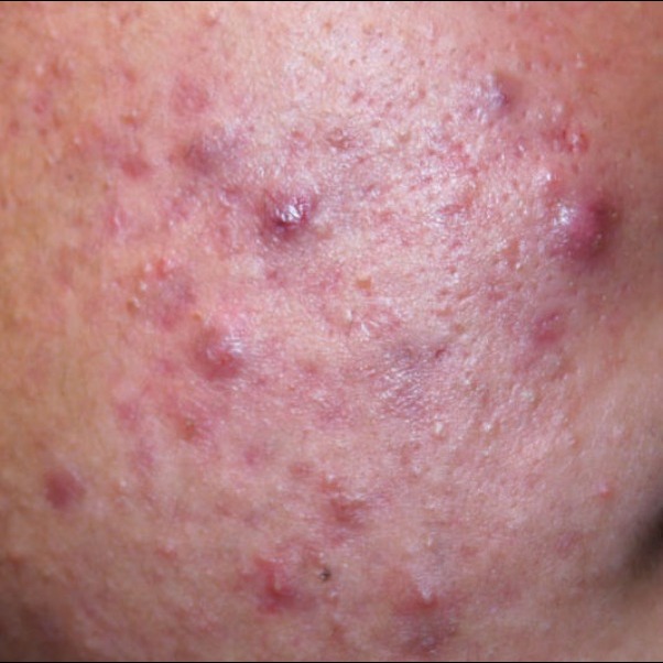
Acne Conglobata and other severe forms of acne

update image
Acne conglobata is a severe form of acne with deep, interconnected nodules, abscesses, and draining sinuses, often on the back, chest, and buttocks, causing significant scarring treatment for acne is available at our clinic in Sanjay Nagar Acne treatment in R T Nagar Acne Treatment in Yelahanka Acne Treatment in Hebbal Acne treatment in Sahakar Nagar
 2025-12-12T10:33:45

Related Posts

update image

Mole excision------ is a common dermatological procedure to surgically cut out a mole, often with a...

2025-12-10T10:39:22 , update date

 2025-12-10T10:39:22
update image

PRP (Platelet-Rich Plasma) treatment for acne scars works by using your own concentrated growth fact...

2025-12-07T04:54:44 , update date

 2025-12-07T04:54:44
update image

LASER HAIR REDUCTION WITH DIODE LASER

2025-12-01T13:36:59 , update date

 2025-12-01T13:36:59